EMC набирает пациентов для инновационного лечения глиобластомы
29.09.2025
Европейский медицинский центр (ЕМС), при поддержке компании «Северсталь», Благотворительного фонда ЕМС «Благодеяние» и Фонда «Доброта Севера», ведет набор пациентов для участия в проекте по инновационному лечению впервые диагностированной глиобластомы — одной из самых агрессивных опухолей головного мозга
Глиобластома быстро прогрессирует и слабо реагирует на стандартные схемы лечения: сегодня средняя продолжительность жизни пациентов не превышает 14 месяцев.
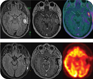
Исследовательская группа врачей клиники «Европейский медицинский центр» разработала и запатентовала инновационный подход к лечению заболевания c использованием баллонной электронной брахитерапии, которая уничтожает остаточные фрагменты злокачественного новообразования, ответственные за быстрый рецидив. Новый метод направлен на продление продолжительности и улучшения качества жизни пациента без прогрессирования.
Эта методика уже показала свою эффективность при терапии рецидивов опухоли головного мозга. Теперь специалисты намерены подтвердить результаты на первично диагностированном заболевании.
Первичные опухоли ЦНС составляют около 2 % всех опухолей человека, или, по данным CBTRUS (Central Brain Tumor Register of the United States), 21,4 случая на 100 тыс. населения. Другими словами, каждый год в России появляется примерно 32 100 новых случаев первичных опухолей ЦНС. Среди первичных опухолей ЦНС преобладают менингиомы (35,6 %, причем только 1 % составляют злокачественные менингиомы) и глиомы (35,5 %, причем 15,6 % от общего числа первичных опухолей мозга составляет глиобластома). Глиобластома составляет 15,6 % от общего числа первичных опухолей мозга – это приблизительно 3 случая на 100 тысяч населения.
«Применение интраоперационной баллонной брахитерапии на этапе первичного диагноза — качественно новый подход к лечению глиобластомы, — комментирует подход Заведующий отделением нейрохирургии Европейского медицинского центра (EMC) Доктор медицинских наук, профессор Алексей Кривошапкин. — Мы видим, что метод, доказавший свою эффективность при рецидивах, дает возможность более точно и локально воздействовать на опухоль уже при первичной операции. Это может существенно продлить период без прогрессирования заболевания и улучшить качество жизни пациентов».
Участвовать в проекте смогут пациенты, чье состояние будет соответствовать медицинским критериям отбора. В проект приглашаются пациенты 40–75 лет с впервые диагностированной глиобластомой, подтверждённой МРТ, и статусом по шкале Карновского от 70%.
Подать заявку и уточнить детали можно, написав на почту: charity@emcmos.ru.
Каждый случай будет тщательно рассмотрен медицинскими экспертами и этическим комитетом. С пациентами проведут консультации, после чего они смогут принять добровольное информированное решение об участии в проекте. Все процедуры, включая операцию, радиотерапию и наблюдение, будут бесплатными. Лечение проводится в Москве на базе ЕМС с участием авторов методики.
Важной частью реализации проекта станет просветительская программа для жителей и медицинского персонала регионов, которая позволит повысить уровень информированности о первых симптомах рака головного мозга и поможет выявлять заболевание на более ранних стадиях, тем самым повышая шансы на эффективное лечение.
Исследовательская группа врачей клиники «Европейский медицинский центр» разработала и запатентовала инновационный подход к лечению заболевания c использованием баллонной электронной брахитерапии, которая уничтожает остаточные фрагменты злокачественного новообразования, ответственные за быстрый рецидив. Новый метод направлен на продление продолжительности и улучшения качества жизни пациента без прогрессирования.
Эта методика уже показала свою эффективность при терапии рецидивов опухоли головного мозга. Теперь специалисты намерены подтвердить результаты на первично диагностированном заболевании.
Первичные опухоли ЦНС составляют около 2 % всех опухолей человека, или, по данным CBTRUS (Central Brain Tumor Register of the United States), 21,4 случая на 100 тыс. населения. Другими словами, каждый год в России появляется примерно 32 100 новых случаев первичных опухолей ЦНС. Среди первичных опухолей ЦНС преобладают менингиомы (35,6 %, причем только 1 % составляют злокачественные менингиомы) и глиомы (35,5 %, причем 15,6 % от общего числа первичных опухолей мозга составляет глиобластома). Глиобластома составляет 15,6 % от общего числа первичных опухолей мозга – это приблизительно 3 случая на 100 тысяч населения.
«Применение интраоперационной баллонной брахитерапии на этапе первичного диагноза — качественно новый подход к лечению глиобластомы, — комментирует подход Заведующий отделением нейрохирургии Европейского медицинского центра (EMC) Доктор медицинских наук, профессор Алексей Кривошапкин. — Мы видим, что метод, доказавший свою эффективность при рецидивах, дает возможность более точно и локально воздействовать на опухоль уже при первичной операции. Это может существенно продлить период без прогрессирования заболевания и улучшить качество жизни пациентов».
Участвовать в проекте смогут пациенты, чье состояние будет соответствовать медицинским критериям отбора. В проект приглашаются пациенты 40–75 лет с впервые диагностированной глиобластомой, подтверждённой МРТ, и статусом по шкале Карновского от 70%.
Подать заявку и уточнить детали можно, написав на почту: charity@emcmos.ru.
Каждый случай будет тщательно рассмотрен медицинскими экспертами и этическим комитетом. С пациентами проведут консультации, после чего они смогут принять добровольное информированное решение об участии в проекте. Все процедуры, включая операцию, радиотерапию и наблюдение, будут бесплатными. Лечение проводится в Москве на базе ЕМС с участием авторов методики.
Важной частью реализации проекта станет просветительская программа для жителей и медицинского персонала регионов, которая позволит повысить уровень информированности о первых симптомах рака головного мозга и поможет выявлять заболевание на более ранних стадиях, тем самым повышая шансы на эффективное лечение.